Skip to Content

Orthodontic Services

Cleft-craniofacial, special needs, and routine orthodontics for the entire family.

UPMC Children's Hospital of Pittsburgh has orthodontic specialists dedicated to the care of patients with craniofacial differences of face and jaw (such as cleft lip and palate or other conditions), patients with special needs, and routine orthodontics for the entire family.

Treatments and Services

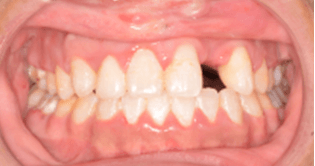
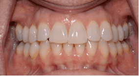
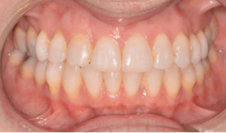
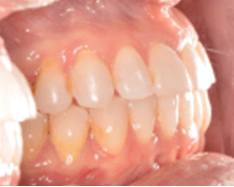
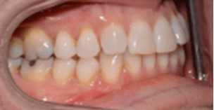
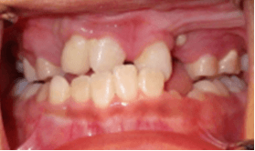
  • Phase 1 Orthodontics: Straightening crooked teeth with braces, crossbites (palate expanders), crowding and other considerations
  • Phase 2 Orthodontics: Alignment of teeth and bite correction using traditional or clear braces, or Invisalign/clear aligner therapy
  • Nasoalveolar molding: Appliance treatment to reduce the size of the cleft gap and shape the nose in patients with cleft lip and palate. This prepares your baby for lip closure surgery.
  • Alveolar bone grafting preparation: Widening/palate expansion the upper jaw and tooth movement in patients with clefts of the gum ridge to prepare for surgical replacement of missing bone in the cleft.
  • Orthognathic surgery and distraction osteogenesis – The orthodontists work closely with the surgical team to plan for and prepare patients for the most appropriate surgical interventions. Braces, custom appliances (if needed) and monitoring of the bite are performed.
  • Infant ear molding for cartilage differences in newborns
    • Stahl's ear
    • Prominent/Protruding Ear
    • Helical rim differences
    • Conchal crus
    • Constricted ear

The center also offers surgical treatment for ear differences. UPMC Children's offers a variety of orthodontic services for our pediatric patients.

Our Orthodontic Services

Additional Information