Group B Streptococcus Infections
Group B Streptococcus (GBS) is the most common cause of neonatal infectious morbidity and mortality in the United States and in many countries around the world. GBS is commonly found colonizing the adult intestine and reproductive tract, but rarely causes serious disease outside of infancy. Around the newborn period, however, GBS can cause serious infections: sepsis, meningitis, pneumonia, and joint infections. While some of the ways that GBS causes newborn infections are understood, unanswered questions remain. Our lab is using bioinformatics, high-throughput approaches, and novel disease models to understand how and why neonatal GBS infections occur.

Group B Streptococcus (GBS) is a normal part of the adult intestinal and reproductive tracts) and can cause infection in newborns through two separate pathways. In early-onset disease (within the first week of life), GBS in the birth canal colonizes the newborn around the time of delivery. In late-onset disease (after the first week), the bacterial exposure occurs in the infant’s environment.
Necrotizing Enterocolitis
Our lab is using advanced machine learning approaches to predict necrotizing enterocolitis (NEC), a devastating intestinal disease that primarily affects preterm infants. Our strategy uses analysis of the intestinal microbiota, the bacteria that enter and colonize a newborn’s intestine after birth, and which can be isolated from a stool sample collected from the diaper. While the intestinal microbiota varies between individuals and can also change over time, we have developed computational strategies that rely on neural network-driven algorithms to filter signals from noisy data, potentially pointing the way toward new ways to prevent a dreaded newborn illness.
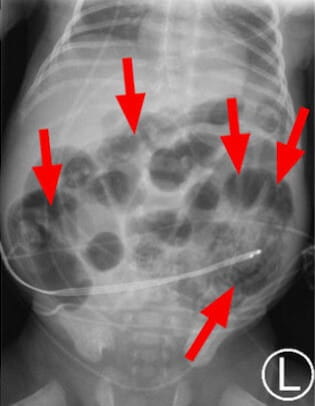
Necrotizing enterocolitis (NEC) is a common, serious intestinal disease that affects preterm infants, usually in the setting of a neonatal ICU. Traditional diagnosis relies on clinical manifestations, which can be subtle and sometimes develop too late to prevent major complications, or X-ray findings, as shown here. The red arrows show air in the intestinal wall, a sign of developing NEC.

The Hooven Lab is working with collaborators from New York’s Columbia University Department of Computer Science to develop a neural network-based predictive algorithm (diagrammed here as a schematic) to identify preterm infants at high risk for NEC using stool microbiota and basic clinical data. Our prototype improves on traditional approaches by generating early, actionable NEC risk predictions without having to wait for disease onset to occur.